-
ホワイトスポット治療で後悔しないために
TOOTH CREATE TOKYO院長の指宿隆秀です。
2021年頃に歯科医師向けのホワイトスポット治療セミナーを行って以降、全国的にIcon(アイコン)を導入するクリニックが増えてきました。Instagramなどを拝見していても、技術力の高い先生方が増えており、とても良い流れだと感じています。
一方で、
・思っていたより白さが残った
・事前に聞いていた印象と仕上がりが違ったというご相談をお受けすることもあります。
ホワイトスポット治療は「削らない治療」ですが、決して簡単な治療ではありません。
今回は、あとで後悔しないホワイトスポット治療の進め方について、いくつか大切なポイントをお伝えします。
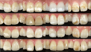
① ホワイトスポットの難易度は同じではありません
ホワイトスポットと一言で言っても、実際には多くの種類があり、同じ原因であっても内部構造や深さには大きな違いがあります。

例えば、同じ1本の歯の中でも
中央部分は浅く改善しやすい
先端寄りは深く改善が難しいといったこともあります。
つまり重要なのは、
・どのような原因で生じたのか
・内部がどの程度の深さか
・どこまで改善が見込めるのかを事前に見極めることです。
ホワイトスポット治療の結果は、
によって大きく左右されます。
ケースが難しくなるほど、結果に差が出やすくなるのも事実です。

② Iconは優れた材料ですが、万能ではありません
Iconは、適切に使用すれば非常に優れた材料です。
しかし、
・内部が非常に深いケース
・構造的に浸透しにくいタイプ
・石灰化不全が強いケースなどでは、完全に目立たなくならないこともあります。
大切なのは、
「どのケースが改善しやすく、どのケースが難しいのか」を治療前に把握していること。
そして、
・どの程度の改善が見込めるか
・残る可能性はどのくらいか
・考えられるリスクは何か
・その場合のフォローはどうするかまで説明したうえで治療を選択できるかどうかです。
十分な説明があるかどうかで、万一思い通りの結果に届かなかった場合の受け止め方は大きく変わります。
③ 担当医の経験が、説明の具体性を高めます
経験が豊富であるほど、結果予測の精度は高まり、より具体的な説明が可能になります。
論文検索をすれば多くの有益な情報が得られますが、実際の臨床経験の中でしか学べない重要なポイントもあります。
例えば、治療後の歯の表面性状をより自然に整える工夫や、わずかな色調差を目立ちにくくするための微調整などです。
ホワイトスポット治療は、知識と診断力、そして繊細な技術力の両方が求められる治療だと考えています。
当院の方針
当院では、
✔ 改善可能な範囲をできる限り具体的にお伝えします
✔ 難しいケースは正直にお話しします
✔ 適応外であれば無理に治療を勧めません
✔ リスクとアフターフォローまで説明します過度に期待を煽ることはありません。
その代わり、できること・できないことを明確にしたうえで、一緒に治療の選択を考えます。
研究と臨床の積み重ね
私は2012年から2016年にかけて、東京医科歯科大学(現・東京科学大学)大学院にて、SS-OCT(波長掃引型光干渉断層画像装置)を用いたホワイトスポットの内部構造解析に関する研究で学位を取得しました。
その後10年以上にわたり、多くの症例に向き合ってきました。
2026年2月には、ホワイトスポットをテーマに体系的にまとめた国内でも数少ない専門書【ホワイトスポット】(医歯薬出版)を、徳島大学の保坂啓一教授、上野品川歯科矯正歯科の品川淳一先生と共著で出版いたします。
研究と臨床の積み重ねが、患者様の笑顔につながっていることを、とても嬉しく感じています。

Screenshot
最後に
ホワイトスポット治療は、
「やってよかった」と感じていただける可能性の高い治療です。同時に、慎重に選ぶべき治療でもあります。
もし治療をご検討されているのであれば、
・自分のケースは改善しやすいのか
・どの程度の変化が見込めるのか
・難しい場合はどう考えるのかをきちんと説明してくれるクリニックを選んでください。
当院では、まず現在の状態を丁寧に診査し、最適な選択肢を一緒に考えます。
無理に治療を勧めることはありません。
そのうえで適応があり、改善が見込めると判断した場合には、責任をもって治療にあたります。
ホワイトスポットで長く悩んできた方が、安心して一歩を踏み出せる場所でありたいと考えています。
ご相談だけでも構いません。
どうぞお気軽にお問い合わせください。
ご予約・お問い合わせ
*当院は専門的な治療に集中する為、診療対象は18歳以上となります
*ホワイトスポット治療は15歳以上が対象となります
*誠に申し訳ございませんが、小児の方の診療はお断りさせていただいております
【平日】9:00-13:00 / 14:30-19:00
【土曜】9:00-15:00(お昼休みなし)
【日祝】休診
東京メトロ日比谷線・JR京葉線「八丁堀駅」徒歩3分
都営浅草線「宝町駅」徒歩3分
東京メトロ有楽町線「新富町駅」徒歩8分
東京メトロ日比谷線・東西線「茅場町駅」徒歩9分
〒104-0032 東京都中央区八丁堀3丁目12−8







